Modesto Mobile Imaging Services
Mobile Xray & Ultrasound

Modesto Mobile Imaging Services makes getting xray and ultrasounds easy and convenience for patients. We come to your location!



What is mobile imaging?
Mobile X-ray and ultrasound are two medical imaging technologies that have been adapted for use with portable and mobile devices, providing healthcare professionals with the ability to perform imaging procedures at the patient’s bedside or in remote locations. These technologies offer the advantage of portability and can be particularly useful in emergency situations, rural healthcare settings, and for patients who are unable to move to a traditional imaging facility.
Benefits
01
Costs saved by eliminating need for ambulance or other transportation of patient to hospital or other imaging center.
02
Patient does not have to move when in pain, also avoiding potential further injury.
03
Convenience and elimination of waiting room wait time.
Mobile Imaging Services
X-Ray & Ultrasound
Modesto Mobile Imaging Services uses portable equipment and devices to allow us to visit our patients at their locations in order to perform x-rays and/or ultrasounds on their injuries.

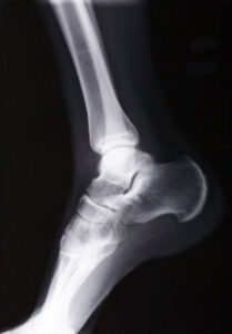
X-ray Services
Broke or dislocated a bone? We will bring our x-ray machines to your location to take x-rays of your injury.
Please fill out the X-ray requisition form, print and email to souklau05@yahoo.com.

Ultrasound Services
Need soft tissue ultrasound services? Call us to come to you with our imaging equipment for your ultrasound needs.
Please fill out the ultrasound requisition form, print and email to souklau05@yahoo.com.



When Movement is Difficult
Many of our clients that use our mobile imaging services are seniors that have a difficult time moving, or others who have a debilitating pain.
If you are a senior assisted living community or resident, utilizing our services could save you time, money and provide a convenience that will reduce discomfort and cost.
